Исправление прикуса - стоматология "ОРХИДЕЯ"

Работы

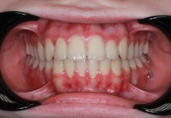
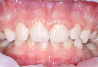
Примеры работ, выполненных специалистами
стоматологической клиники «ОРХИДЕЯ»

Контакты

АДРЕС

г. Сургут, ул. Университетская, 9
г. Сургут, ул. Ленина, 11

РЕЖИМ РАБОТЫ

ПН-ПТ 9-21
СБ 9-21
ЗАПИСАТЬСЯ НА ПРИЕМ
Обратная связь
Запись на прием

г.Сургут, ул.Университетская, д.9.
Схема парковки
ул. 30 лет Победы, 10
Сургут
ХМАО
628400
Россия
Телефон: +7 (3462) 37-55-44